dr.line sawas
COI
Chirurgien dentiste
au cœur
de Rabat-Agdal, à proximité d’Arribat Center
Il ne s’agit pas seulement de soigner les dents, mais aussi de changer la perception que les gens ont d’eux-mêmes. Nous réfléchissons à l’aspect de vos dents et à l’image qu’elles reflètent.
Nos traitements

Extractions simples et complexes
Extraction des dents de sagesse
Chirurgie pré-implantaire (greffe osseuse, sinus lift)
Pose d’implants dentaires
Prothèses sur implants
Réhabilitation complète (All-on-4 / All-on-6)
Chirurgie guidée

Couronnes et bridges
Prothèses amovibles
Facettes dentaires
Réhabilitation globale du sourire

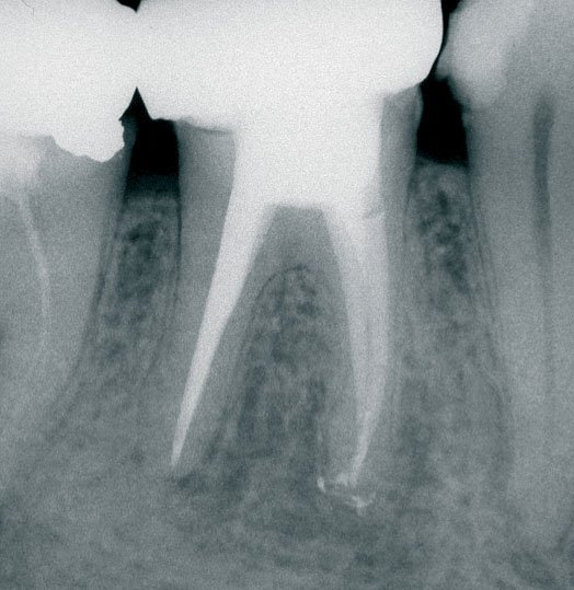
Traitement de canal
Retraitement endodontique
Urgences endodontiques
Traitement des infections périapicales

Blanchiment dentaire
Facettes
Remodelage du sourire
Correction du sourire gingival
dr.line sawas –Dentiste à Agdal
Transformations Esthétiques et Implantologie




Dentaire comme art
Avant et après
Le Dr Line privilégie les transformations esthétiques du sourire, pour des résultats naturels garantissant l'équilibre général et l'harmonie du visage.

guides chirurgicaux à agdal, Rabat
Qu'est-ce qu'un guide chirurgical pour les implants dentaires - et pourquoi est-ce important ?
Lors de la pose d’implants dentaires, la précision est essentielle. C’est pourquoi nous utilisons un guide chirurgical sur mesure – conçu à partir d’un scan numérique de votre bouche – pour nous assurer que l’implant est placé à l’angle, à la profondeur et à la position parfaits.
Pourquoi c'est important :
✔️ Une chirurgie plus rapide et plus sûre
✔️ Placement plus précis de l’implant
✔️ Moins de risques, moins de douleurs, guérison plus rapide
✔️ Des résultats d’apparence naturelle
✔️ Implants plus durables
C'est l'heure du bilan de routine.
Nous sommes toujours ravis d’accueillir de nouveaux sourires dans nos locaux. Que vous envisagiez de reprendre vos soins bucco-dentaires ou que vous recherchiez un cabinet dentaire plus pratique pour vous, nous sommes là pour vous.
ENTENDRE LE TÉMOIGNAGE DE
NOS PATIENTS
Rania Abdeen2025-01-03Trustindex verifies that the original source of the review is Google. Very good result,excellent treatment Zineb2024-12-22Trustindex verifies that the original source of the review is Google. تبارك الله عليك دكتورة الله يجاويك بالخير وضحت ليا كلشي وصبرت عليا وعلى كثرة اسئلتي وعرفت باش خاصني تبدا Soumia Fliliss2024-12-21Trustindex verifies that the original source of the review is Google. طبيبة رائعة ومتفانية في عملها فريق العمل مودي البعد حدود شكرا لكم جميعا Khadija Fliliss2024-12-21Trustindex verifies that the original source of the review is Google. شكرا لك د لين على حسن المعاملة والإستمتاع تستحقين اكثر من خمسة نجمات راقية وعارفة شنو تديري شكرا لك من القلب Zakia Hz2024-12-18Trustindex verifies that the original source of the review is Google. طبيبة غزالة ما شاء الله عليها وعلى البنات لي معاها كلهم بشوشات وتعاملهم زوين بزاااف كل الخوف لي تيكون من طبيب الأسنان تيمشي معاهم kamar2024-12-14Trustindex verifies that the original source of the review is Google. Un grand merci à Dr. Line Sawas et à toute son équipe pour l'accueil chaleureux et professionnel que j'ai reçu. Votre attention m'a rassurée. J'espère que la suite de mes soins sera tout aussi excellente ! Merci encore à toute l'équipe pour tout ce que vous faites pour vos patients, cela fait toute la différence !Verified by TrustindexTrustindex verified badge is the Universal Symbol of Trust. Only the greatest companies can get the verified badge who has a review score above 4.5, based on customer reviews over the past 12 months. Read more





