Le traitement du canal radiculaire

est une procédure dentaire qui consiste à retirer la pulpe enflammée ou infectée à l’intérieur de la dent, puis à la nettoyer et à la désinfecter soigneusement.

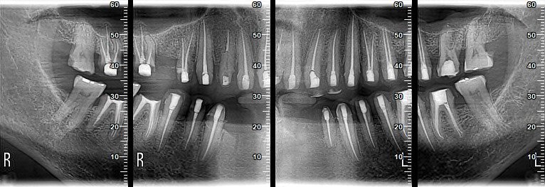
Traitement de canal expert à Rabat Agdal – Dr Line Sawsa

Le traitement du canal

Dr. Line sawas

L’endodontie fait partie des spécialités de dentisterie qui s’intéressent au tissu vivant de la dent, appelé « pulpe ». Le traitement endodontique (la dévitalisation) est réalisé lorsque la carie dentaire ne peut pas être traitée.

L’objectif du dentiste est de préserver une dent précédemment endommagée (préservation de la dent), car le traitement du canal radiculaire est un traitement dentaire conservateur en endodontie ou en endodontologie. Ce traitement est souvent désigné par le terme anglais endodontic treatment.

Il vise à préserver la dent, même si la pulpe dentaire est morte et que la dent est dévitalisée. Un traitement de canal est également effectué si la dent est encore vitale, mais déjà fortement enflammée (on parle alors d’inflammation dentaire) et irréversible (non réversible). Cependant, il est possible qu’une douleur dentaire apparaisse après un traitement de canal, car la douleur du parodonte est typique d’une dent fraîchement traitée par le canal radiculaire.

Le traitement du canal

FAQs

En cas d’hématomes au niveau du nerf dentaire,
– En cas de fractures affectant le nerf de la dent à la suite d’un traumatisme ;
– En cas de maladie gingivale avancée ;
Pour éliminer la sensibilité dentaire due à une usure excessive.
Les prothèses dentaires ou les produits de comblement fortement appliqués doivent faire l’objet d’un traitement du canal radiculaire.

En cas d’hématomes au niveau du nerf dentaire,

–  En cas de fractures affectant le nerf de la dent à la suite d’un traumatisme ;- en cas de maladie gingivale avancée ;

– Pour éliminer la sensibilité dentaire due à une usure excessive.-

Les prothèses dentaires ou les produits de comblement fortement appliqués doivent faire l’objet d’un traitement du canal radiculaire.

Un traitement de canal dure généralement de 30 minutes à 3 heures,

Pourquoi un traitement de canal est-il nécessaire ?

Dr. Line sawas

Une dent saine se compose d’une couronne dentaire visible et d’une ou plusieurs racines. À l’intérieur de la couronne et de la racine de la dent se trouve ce que l’on appelle la pulpe ou le nerf dentaire. Celui-ci se compose de tissu conjonctif, de vaisseaux sanguins et lymphatiques ainsi que de fibres nerveuses. La pulpe saine réagit aux irritations, qui peuvent être déclenchées par des caries ou des blessures, en provoquant une inflammation. Si un traitement dentaire est effectué rapidement, par exemple en éliminant les caries et en réalisant une obturation ou une couronne artificielle, l’inflammation peut se résorber. En l’absence d’intervention précoce, l’inflammation de la parodontite peut progresser, entraînant une gingivite (stomatite dentaire). Celle-ci peut être associée à de graves douleurs dentaires, car au départ, un nerf dentaire irrité provoque des douleurs, lesquelles surviennent toujours lorsque le nerf est irrité, car le nerf se trouve à l’intérieur de la dent.L’inflammation peut entraîner la mort de la pulpe et provoquer une infection bactérienne des canaux radiculaires ou un abcès.Les toxines sécrétées par les bactéries buccales migrent alors dans les tissus autour de la pointe de la racine dentaire, provoquant souvent des réactions chroniques sous forme de granulome ou de kyste. Dans le pire des cas, les bactéries peuvent infecter le tissu osseux au niveau de l’extrémité de la racine, provoquant des abcès purulents et une joue épaisse.

"Votre sourire. Notre passion."

COI-agdal

Address : 30 Rue Oum Errabia, Rabat 10000

horaires de travail

lundi
8:30 AM - 17:45 PM
mardi
8:30 AM - 16:400 PM
mercredi
8:30 AM - 12:00 PM
jeudi
8:30 AM - 14:00 PM
vendredi
8:30 AM - 17:45 PM
samedi
8:30 AM - 13:00 PM

© 2025 Dr Line Sawas Nabhan. all rights reserved. privecy policy. accessibility

Scroll to Top