Dr line sawas

17 ans d'expérience

Un seul objectif : votre sourire parfait

les meilleurs soins dentaires personnalisés et complets

Nous créons la méthode de traitement la plus appropriée avec des matériaux de la plus haute qualité.
En utilisant des technologies de pointe, nous vous offrons des dents saines, esthétiques et fonctionnelles et un sourire parfait.

denstit agdal rabat
Dentaire comme art
Les transformations esthétiques du sourire dr line privilégient des améliorations prudentes et nuancées pour des résultats naturels qui garantissent l'équilibre général et l'harmonie du visage.
all-on-4-implant-dentaire-rabat

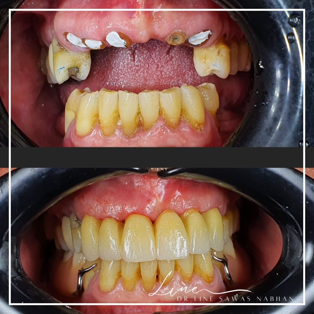
All on 4 total restoration

Le centre dentaire Dr Line à Rabat Agdal offre une large gamme de services dentaires pour tous en un seul endroit.

Avant et après

prothèse-sur-implant-rabat
implant-dentaire-agdal
implant-dentaire-rabat
dentist-agdal-implant-dentaire
Couronnes dentaires
: Résultat avant/après facettes dentaires à Agdal, Rabat par dentiste
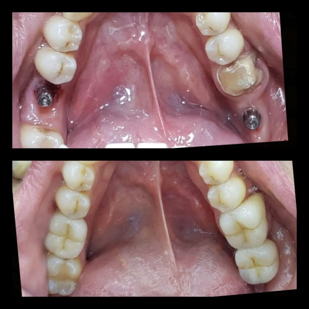
Avant et après pose d’implant dentaire à Agdal par dentiste spécialisé
Avant et après facettes dentaires par dentiste à Agdal, Rabat
Transformation avec facettes dentaires par dentiste à Agdal Rabat
Avant et après traitement de facettes dentaires à Agdal Rabat
Sourire amélioré après pose d’implant dentaire par dentiste à Agdal

Nos traitements

BLANCHIMENT DES DENTS DES FACETTES DENTAIRESIMPLANTS DENTAIRESCOURONNES EXTRACTION TRAITEMENT CANALAIRE

Le résultat final est une transformation qui vous rendra plus heureux, en meilleure santé et plus confiant. Si vous êtes prêt à faire le premier pas, prenez rendez-vous avec le Dr Line.

"Votre sourire. Notre passion."

COI-agdal

Address : 30 Rue Oum Errabia, Rabat 10000

horaires de travail

lundi
8:30 AM - 17:45 PM
mardi
8:30 AM - 16:400 PM
mercredi
8:30 AM - 12:00 PM
jeudi
8:30 AM - 14:00 PM
vendredi
8:30 AM - 17:45 PM
samedi
8:30 AM - 13:00 PM

© 2025 Dr Line Sawas Nabhan. all rights reserved. privecy policy. accessibility

Scroll to Top